Saturday 16th April, 2022

Does massage help healing and recovery

Massage therapist
Massage can help healing: including post exercise recovery, tears and injuries, and sores and ulcers that won't heal

Massage is said to help healing and recovery. It certainly does, and in this article I’ll show you scientific evidence of some pretty amazing results. However, it won’t help every condition and some conditions need a particular type of massage or you will do more harm than good. In this article we’ll discuss which conditions massage will help, and the best types of massage for each. Also, while professional therapists are excellent at providing these services it can be expensive so we will certainly give you effective self care options.

CONTENTS

Healing microscopic damage: eg post exercise soreness
Healing structural damage: eg. muscle tears
Poor healing: eg. pressure and diabetic sores
References

The types of conditions massage helps heal

We were able to find good scientific evidence that massage can help healing for the following three types of conditions.

Microscopic damage

Microscopic damage is what typically occurs after strenuous exercises. With this you can get sore and the performance of your muscles is reduced for a few days, but you will eventually recover without any damage.

The microscopic structure of muscles
During strenuous exercise some of the microscopic fibres are damages, but the structure of the muscles stays in tact

What happens

As this pic shows your muscles are made of microscopic fibres. During strenuous exercise some of these microscopic fibres are damaged. You may suffer some soreness and your muscles will not be able to perform fully, but the overall structure remains in tact so the microscopic fibres will repair normally.

How massage helps healing

Massage will help these muscles heal and recover faster by:

  1. increasing circulation which helps remove waste products and bring in fresh nutrients, and
  2. relaxing the muscle, relieving tension from the healing microscopic fibres.

According to the scientific literature the two therapies that help muscles recover faster are massage performed by a professional therapist and vibration massage. Also, there are other things you need to do. We have a more complete guide What helps muscles recover faster.

Please note that these and all recommendations are for general information only. For specific advice please ask a professional familiar with your needs.

manual massage performed by a professional therapist

The clinical trials of massage for post exercise soreness and recovery have used a range of styles of massage, and all have given excellent results (1–4)⁠. It seems that as long as the massage helps increase circulation and relaxes the muscles it will help.

Balls and rollers

However, As discussed in our article on foam rollers, these are generally far less effective than professional massage therapy, and the results of using them in clinical trials is no where near as good. There are a host of reasons, but in summary professional massage therapy is performed by skilled knowledgeable therapists, usually on a client relaxed lying on a table. On the other hand foam rolling is usually done by people without this level of skill and knowledge, and muscles are often tightened in an attempt to adopt the correct position.

Vibration massage

Vibration massage is also shown to give very worthwhile reductions in pain and to speed recovery (4–13) . Like manual massage, science shows that it relaxes muscles and increases blood flow. The big advantage of vibration massage is that it can easily be self applied. There is no special skill needed. All one needs to do is to place the vibrating pad of a massager over the muscle and let the vibrations penetrate. Without needing the physical pressure and penetration of manual massage vibration massage is also much safer.

Percussion massagers such as massage guns are not vibration massagers

The use of percussion massagers such as massage guns has become a fad. However, as discussed in our article Should I get a massage gun percussion massage is different to vibration massage, with less benefits and greater risks.

Dr Graeme's comments

Graeme’s recommendations

For a complete strategy to get rid of post exercise soreness please be sure to check out our Practical, science based guide to post exercise recovery . However, either professional massage or vibration massage should help a lot. If you belong to a sports club that provides professional massage or otherwise have good access most professional therapists will do a great job. Ignore the hype and misleading info about balls and rollers though. They don’t work very well and I’ve seen too many people hurt themselves with them.

If you don’t have good access to professional therapists vibration massage works at least as well. You can easily do this if you have a proper massager (not a massage gun). For more info please see our guides how to choose a massager and vibration massage usage guide .

Structural injuries

Muscle tear
Weil structural damage such as a tear your body has to reconstruct with new tissue of scar tissue

As shown in this pic of a muscle tear structural damage is where the structural integrity is damaged. Rather than just repair a few microscopic fibres your body needs to reconstruct new tissue or scar tissue. For this section we were able to find good scientific information about massage helping heal muscle and ligaments.

Helping heal damaged ligaments

About 50% of sports injuries involve ligaments. They are the connecting tissue that holds your joints together. The main issue is that these can heal using scar tissue rather that regenerated ligament tissue, making them weaker. In one trial the ligaments healed 43% stronger when mechanically assisted cross friction massage was used for one minute three times a week while healing (14)⁠. It is easy to do some damage with this though so it’s something a properly qualified professional should be helping you with.

Helping damaged muscles

We could find no scientific evidence that manual massage can help healing damaged muscles. I suspect that unless one was extremely careful the physical rubbing and pressing could do further damage. On the other hand vibration has been shown to have some amazing benefits. In this case pictures tell the story far better than words.

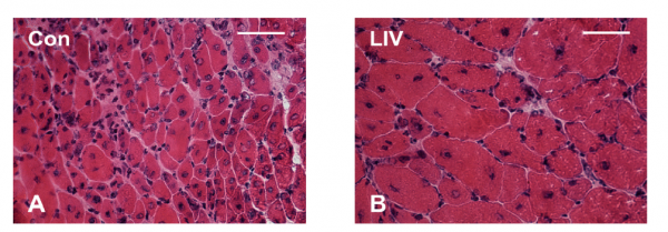
Repair of muscle fibres
In this pic the healing muscles fibres treated with vibration (LIV) have grown much larger

Speeding the growth of muscle fibres

This photo shows the effect on healing muscle of 45 Hz vibration for 30 minutes per day. It shows muscle fibres in cross section. You can clearly see that the oval shaped muscle fibre cross sections are much larger in the pic on the right where vibration has been used (15)⁠.

Healing with less car tissue
This pic shows that vibration (LIV) caused muscle to heal with far less scar tissue (the lighter colour)

Healing with less fibrosis or scar tissue⁠

From the same trial. In these photos the lighter staining represents fibrous scar like tissue, while the red is the muscle fibres. This clearly shows that the application of 45 Hz vibration for 30 minutes per day resulted in healing and muscle growth with far less scar tissue (15)⁠. Scar tissue is not as strong, and causes the muscle to be less flexible.

Growing new blood vessels
Vibration (LIV) has stimulated the healing tissue to grow more blood vessels (the dark lines)

Formation of blood vessels ⁠

This shows healing tissue with new blood vessels (the dark lines) growing through it. This clearly shows that vibration (LIV) causes the growth of a lot more blood vessels (16)⁠. This helps deliver the nutrients needed for healing.

Vibrations cause the body to make more growth hormones
Vibrations (LIV) cause the body to make more growth hormones

Level of growth hormones

Growth hormones are you bodies natural, safe and legal version of the steroids some athletes use. These graphs show that vibration of 45 Hz for 30 minutes a day caused a remarkable increase in these. (15)⁠.

Dr Graeme's comments

Graeme’s recommendations

Specialised massage can help torn ligaments, but this is something for a professional. For muscle tears the potential risks of manual massage outweigh any potential benefits, and I’ve seen where well meaning therapists and sports trainers have caused large amounts of internal bleeding. On the other hand the scientific results for vibration are amazing.

In trials vibration has been use two ways: whole body vibration where the whole of your body (or a part such as your leg) is “shaken”, and localised vibration where the vibration is just applied to one area. Localised vibration works better (17), and can easily be applied using a proper vibration massager (not a massage gun). Vibration of 40-45Hz (cycles per second) has been used in clinical trials with great success and can easily be self applied. Please see our _vibration massage usage guide .

Poor healing due to impaired circulation

In these conditions sores or ulcers develop mainly due to a lack of circulation. Examples include diabetes ulcers, and pressure sores when someone is bed ridden. The best way to help these is to increase the circulation. Vibration is excellent for doing this. It has also been shown to increase the number of cells that produce the structural material collagen, and cause it to be laid down in a more organised manner (18)⁠. Below we have pictures from separate trials that clearly show the results .

Healing wounds
These pics show that the vibration helped heal wounds much faster

Trial one

For this trial the scientists tested two alternative methods to increase blood flow and increase the healing of wounds: applying electrostimulation or 45 Hz vibration for 10 minutes per day (19)⁠.

Wound healing 2
In this pic the top wound healed naturally while vibrations were used on the bottom one

Trial two

For this trial the scientists have compared natural healing with using 45 Hz vibration for 30 minutes per day (16)⁠.

Dr Graeme's comments

Graeme’s recommendations

Again the application of 45 Hz vibration was found to work well. As discussed in our article The scientifically proven effects of vibration massage- with clinical applications the range 30-55Hz produces most of the therapeutic benefits. As shown in the pic below from one of the clinical trials the way to do this is to apply the vibration around the sore, not to it directly (20)⁠. With proper advice this therapy can easily be self applied. Please see our guides how to choose a massager and How to use a massager. Again, don’t use a massage gun for this as they are not that effective and the they can do a lot of damage.

Video: Dr Graeme demonstrating our massagers

Applying massage to pressure sore
Vibration massage was applied around the pressure sore, not directly

References

  1. Mancinelli CA, Davis DS, Aboulhosn L, Brady M, Eisenhofer J, Foutty S. The effects of massage on delayed onset muscle soreness and physical performance in female collegiate athletes. Phys Ther Sport. 2006;7(1):5–13.
  2. Naderi A, Aminian-Far A, Gholami F, Mousavi SH, Saghari M, Howatson G. Massage enhances recovery following exercise-induced muscle damage in older adults. Scand J Med Sci Sport. 2021;31(3):623–32.
  3. Davis HL, Alabed S, Chico TJA. Effect of sports massage on performance and recovery: a systematic review and meta-analysis. BMJ Open Sport Exerc Med. 2020;6(1):e000614.
  4. Ntshangase S, Peters-Futre E. The efficacy of manual versus local vibratory massage in promoting recovery from post-exercise muscle damage – A systematic review. J Sci Med Sport. 2017;20(February):e42.
  5. Veqar Z, Imtiyaz S. Vibration therapy in management of delayed onset muscle soreness. J Clin Diagnostic Res. 2014;8(6):10–3.
  6. Imtiyaz S, Veqar Z, Shareef MY. To compare the effect of vibration therapy and massage in prevention of delayed onset muscle soreness (DOMS). J Clin Diagnostic Res. 2014;
  7. Lau WY, Nosaka K. Effect of vibration treatment on symptoms associated with eccentric exercise-induced muscle damage. Am J Phys Med Rehabil. 2011;
  8. Bakhtiary AH, Safavi-Farokhi Z, Aminian-Far A. Influence of vibration on delayed onset of muscle soreness following eccentric exercise. Br J Sports Med. 2007;
  9. von Stengel S, Teschler M, Weissenfels A, Willert S, Kemmler W. Effect of deep oscillation as a recovery method after fatiguing soccer training: A randomized cross-over study. J Exerc Sci Fit. 2018;16(3):112–7.
  10. Timon R. Effects of whole-body vibration after eccentric exercise on muscle soreness and muscle strength recovery. J Phys Ther Sci. 2016;28:1781–5.
  11. Kamandani R, Ghazalian F, Ebrahim K, Ghassembaglou N, Shiri Piraghaj M, Khorram A. The Effect of Acute Vibration Training on Delayed Onset Muscle Soreness in Young Non-Athlete Women. Heal Scope. 2015;2(3):119–24.
  12. Lu X, Wang Y, Lu J, You Y, Zhang L, Zhu D. Does vibration benefit delayed-onset muscle soreness ?: a meta-analysis and systematic review. J Int Med Res. 2019;47(1):3-18. doi:10.1177/0300060518814999
  13. Koeda T. A trial to evaluate experimentally induced delayed onset muscle soreness and its modulation by vibration. Environ Med. 2003;47:26–30.
  14. Loghmani MT, Warden SJ. Instrument-assisted cross-fiber massage accelerates knee ligament healing. J Orthop Sports Phys Ther. 2009;39(7):506–14.
  15. Corbiere TF, Weinheimer-Haus EM, Judex S, Koh TJ. Low-intensity vibration improves muscle healing in a mouse model of laceration injury. J Funct Morphol Kinesiol. 2018;3(1):1–14.
  16. Weinheimer-Haus EM, Judex S, Ennis WJ, Koh TJ. Low-intensity vibration improves angiogenesis and wound healing in diabetic mice. PLoS One. 2014;9(3):3–10.
  17. Koh T. TITLE : Low-Intensity Vibration as a Treatment for Traumatic Muscle Injury: PREPARED FOR: U.S. Army Medical Research and Material Command. 2018;
  18. Sari Y. THE EFFECT OF VIBRATION THERAPY ON REDUCTION OF MATRIX METALLOPROTEINASE-9 IN DIABETIC ULCER. Soedirman J Nurs. 2016;11(3):150–7.
  19. Sari Y, Saryono S, Sutrisna E, Hartono H. A Comparative Study of the Effects of Vibration and Electrical Stimulation Therapies on the Acceleration of Wound Healing in Diabetic Ulcers. J Ners. 2017;
  20. Vasudevan TK. STUDY OF EFFECTIVENESS OF MASSAGE THERAPY AS A THERAPEUTIC ADJUVANT IN THE MANAGEMENT OF PRESSURE ULCER. Phys Med Rehabil. 2022;(2277):8–11.

We are continually adding more information on research and uses. Subscribe below to have us email them to you "hot off the press".

Dr Graeme

About Dr Graeme

Several years ago Dr Graeme, a Chiropractor practicing in Victoria, Australia was looking for a serious hand held massager his patients could use at home to get the extra quality massage they needed. The ones he found in the shops and on-line for home use looked nice but were not serious, and... read more



Other Articles You May Like

Are massage guns effective- debunking the myth

Massage guns are heavily marketed as a substitute for professional therapists, providing benefits such as sports recovery and pain... Read Article