The scientifically proven effects of vibration massage- with clinical applications

The scientifically proven effects of vibration massage
In this article we cover the physiological and neurological effects of vibration massage, with clinical applications

The following guide details the scientifically proven benefits of therapeutic vibration massage, including:

  1. the therapeutic benefits
  2. the most effective vibration frequencies to use, and
  3. clinical applications.

Therapeutic applications of vibration have been shown to significantly increase blood flow (3-5) . In one trial vibrations at both 30 and 50 Hz were shown to substantially increase peripheral blood flow, with 50 Hz giving the superior results. 50 Hz gave a larger increase with the effects lasting over 30 minutes. 30 Hz vibration gave a smaller increase which lasted for about 7 minutes.

Special application: cellulite massage

The main cause of cellulite is poor circulation in the affected tissues, resulting in less efficient reabsorption of fats. The repeated application of vibration massage over time has increased circulation, allowing these deposits to be reabsorbed, resulting in a long term reduction in size and improved appearance. For more information please see our article The practical guide to massage for cellulite .

Various studies have shown that the application of vibration massage in the range of 20-60 Hz causes muscles to relax, while vibrations from 100-200 Hz have been shown to cause muscles to contract (1)

Clinical application: typical massage benefits

The relaxation of muscles and increasing blood flow are the principle benefits of most types of massage therapy, whether it is for simple relaxation, relieving tight tired muscles after a hard day's work, or as part of a rehabilitation program. Science tells us that vibration massage at around 50 Hz does this very well.

The main way vibration massage helps reduce pain is to help address the causes of pain, such as tight sore muscles and trigger points (tender lumps in muscles- see below). However, the application of stimulation at 100 Hz has been shown to neurologically block pain, which is the same principle used by a TENS machine (8). As an example, a trial showed that repeated applications of 100 Hz massage to the distal quadriceps muscles (just above the knee) produced a considerable reduction of symptoms in those with osteoarthritis of the knees (9). Keep in mind that the main therapeutic benefits of vibration occur at 30-50 hz so most therapeutic massagers do not run at this higher speed, and as stated 100 Hz has potentially undesired affects such as causing muscles to contract (tighten) rather than relax.

Cramps and spasms are caused by neurological reflexes. These reflexes are generally useful. As an example stretch reflexes stimulate your muscles to tighten when rapid or excessive stretching is detected. This is an excellent protective mechanism that prevents muscles from being overstretched and damaged.

However, these can "lock on" abnormally in the case of muscle cramps or spasms. It is also a core problem in (myofascial) trigger points where part of the muscle spasms causing the lump. Vibration in the range of 30-50 Hz has been shown to temporarily suppress this reflex (1, 10). For more information please see our guide Your Complete Guide To (Myofascial) Trigger Points .

Clinical application: treating (myofascial) trigger points

What are trigger points

(myofascial) trigger points are those tender lumps in muscles that therapists find. They are arguably the most important source of musculoskeletal pain syndromes such as back, neck and shoulder pain, plus cause a host of other adverse effects such as altered posture and biomechanical function. For more information please see our guide  Your Complete Guide To (Myofascial) Trigger Points  .

Those lumps are formed by part of the muscle spasming, caused by a neurological reflex. As the diagram below shows this in turn creates a chain reaction involving muscle tightness, restricted blood flow and a build up of toxic waste products. This chain reaction creates what is known as a positive feedback loop, which means that over time they continue to grow.

Why vibration is the most effective therapy

As discussed above vibrations in the range of 30-50 Hz will suppress the reflexes that cause the spasm. Further, it has also been shown to relax muscles, increase blood flow, plus has a mechanical effect helping pump out waste products. Therefore, therapeutic vibration is the most complete and effective form of trigger point therapy.

The trigger point positive feedback loop
Trigger points are art of the muscle in spasm, causing a chain reaction that goes "around in circles".
Trigger point therapy
Therapeutic vibration is the most effective trigger point therapy because it is proven to help all parts of the trigger point positive feedback loop.

Stretching exercises are done to lengthen muscles to their proper operational length. This allows full movement and efficient function of the muscles. Clinical trials show that the application of vibration of 40-50 Hz produces a similar lengthening of muscles. As discussed in the examples below, this would be extremely useful in situations where stretching cannot be used or if it were difficult to isolate the appropriate muscles.

Example: where it is difficult to stretch

An example would be parts of the spine. Your spine is made of a chain of links. If one link is stiff it is practically impossible to isolate a stretch to that link only, however, a vibration massager can easily apply very localised vibration. An excellent example would be the intrinsic muscles of the spine, as discussed in our article Back pain: massage therapists miss the most important muscles.

Example: where stretching cannot be used

An example would be while an injured ankle was healing. Conventional stretches could not be used as they would further damage the joint, however, vibration could be applied to the calf muscles to prevent them shortening.

Example: "Elite" stretching

Gymnasts have also used the application of 30 Hz vibration to inhibit the stretch reflex, achieving superior results when stretching (15) . What they did was temporarily shut down the body's protective mechanism against overstretching. This may have merit for elite gymnasts in a controlled setting, but otherwise not something we would recommend.

Strenuous exercise causes microscopic damage to your muscles. This results in post exercise soreness (also known as DOMS- delayed onset muscle soreness), and your muscles will suffer a loss of performance until recovered. Clinical trials (16-22) have shown that the application of vibration from 30-65 Hz either before or after exercise will result in:

  • less soreness
  • a reduction in blood chemicals that result from cell membrane damage, tissue necrosis and muscle cell damage
  • a reduction in the temporary loss of muscle performance.

Clinical applications: Everyday use for sports and exercise

Everyone who works out or plays sports seriously will suffer stiffness and soreness after. Vibration massage does exactly what your muscles need: relaxes them and stimulated blood flow to flush the wastes and bring in nutrients. Various clinical trials have shown that using a massage will help if done before exercise, after exercise, and during recovery . With your own vibration massager you can do them all. It is simple to do and has practically no ongoing cost.

For further information check out our The practical, science based guide to post exercise recovery .

There are several possible ways vibration massage may be used to help increase performance:

  1. Direct application
  2. regular massages
  3. helping eliminate impediments to performance

Direct application

The application of vibration has been shown to enable the nervous system to stimulate more receptors in muscles, both in number and type. The result is higher maximum contraction force and increased muscular effort. (23) This should be of interest to anyone who wishes to achieve greater performance, such as those who play sport or work out in a gym. A research summary (23) found 21 published trials covering this area. The protocols and vibration frequencies used varied widely. However, in general they found that the lower frequencies (5-50 Hz) used short duration applications worked well. They also found that better results were achieved by applying the vibration directly to the muscles rather than via indirect methods,

Regular massages

There have been several trials where regular massage has been shown to increase performance. In one example, during a three week training camp athletes received a 45-52 Hz vibration massage each evening. They suffered reduced fatigue compared with those who received no vibration massage (24)

Helping eliminate impediments to performance

The previously mentioned (myofascial) trigger points can have a profound affect on performance, including reducing strength, causing rapid fatigue, and altering neurological control. For more information please see our  article on the effects of (myofascial) trigger points on sports and athletics performance .

Subheading: Speeds and improves healing

In general, increasing circulation and relaxing muscles (eg. removing tension from damaged fibres) should help healing. However, in animal experiments (25,26) the application of 45 hz for 30 minutes per day has dramatically sped and improved healing, including:

  • speeding wound healing
  • speeding the growth of muscle fibres,
  • reducing the amount of scar tissue
  • increasing the level of growth hormones
  • increasing angiogenesis
  • increasing the rate of nerve growth

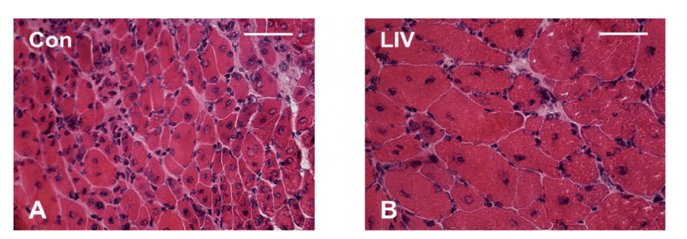
For more details please see our article Does vibration help healing . However, two pictures from the trial reports follow to illustrate how profound these effects are.

Much faster growth of muscle fibres

Healing muscle
In these images the oval shapes with the dots are muscle fibres in cross section. In the trial the daily 45hz vibration caused the body to produce increased levels of growth hormones resulting in the healing muscle fibres becoming much larger.

Healing with reduced scar tissue

Healing muscle fibrosis
In pic "A" the large amount of white/grey material is scar tissue. As you can see when the daily 45hz vibratation was applied the muscle healed with almost no scar tissue.

Just like ultrasound (vibrations at a different frequency) the therapeutic vibrations are able to penetrate very deeply and into parts that would otherwise be very difficult to access. Genuine vibration massagers can do this while just sitting on the surface, making them very safe and very comfortable.

Clinical application: no need for painful and dangerous penetration

Conventional massage uses physical pressure and penetration to get to those deep hard to get at spots in your muscles. This can be very painful and creates a risk of injury or damage. Percussion massagers (massage guns) penetrate the same way by driving their heads into your muscles, only they are driven by a “jack-hammer” mechanism that increases their risk of causing injury.
On the other hand the head or pad of a vibration massager sits on the surface while the therapeutic vibrations penetrate deeply. This is much safer and more comfortable.

Clinical application: parts conventional massage cannot reach

Many very important muscles are situated in deep and hard to get to places where conventional massage (and massage guns) cannot reach, but therapeutic vibrations can reach easily. As an example there are a collection of very important muscles (pictured below) that control the movement and stability of your spine. Because they are so deep and situated between bony levers they are impossible to reach. Using needles is not an option because of the extreme danger of accidentally needling a nerve root or the spinal cord. However, therapeutic vibrations can reach these easily.

Vibration massage can reach important muscles conventional muscles cannot

Practical advice on using vibration massage

Vibration massage is an incredibly safe and effective therapy. As well as being used in clinics, with the correct equipment it is very easy to self apply. We have a very comprehensive Vibration massage usage guide , but will outline the key issues here.

How to use a vibration massager

The vibration massage usage guide has precautions and optimisation strategies, but using a vibration massager is extremely simple. You basically set the machine at the desired vibration frequency, sit the head or pad of the massager on where you want to massage, and let the vibrations penetrate.

Physical penetration vs vibration

The common mistakes

The main mistake we see is use of conventional massage techniques such as pushing he head in or moving it around. This reduced the effectiveness of the vibrations and possibly creates the risk of injury. Vibration massagers are power tools that need completely different techniques. To illustrate this we like to use the analogy of using a chainsaw vs an axe. Unfortunately we see a lot of people (including professionals who should know better) doing the massage version of swinging a chainsaw like an axe.

Self massage

Using vibration massage is extremely easy and needs no special skills. This makes self massage an option. In this section:

  • Prescribed self massages
  • General uses of self massage
  • Self massage allows repeated massages

Prescribed supplementary self massage

Most musculoskeletal pain syndromes are complex requiring professional advice and management. Treatment often includes massage, but professionals often cannot prescribe the amount a patient needs because of the cost and inconvenience. However, if the professional advises where, when and how often to use a vibration massager patients can use self massage to have all the quality massage therapy they need.

General uses of self massage

As we have seen above regular massages can be used by those who play sport or work out to help increase performance and reduce post exercise soreness. Also, as discussed in the guide Massage for health and wellness regular massages can help with health issues such as reducing blood pressure, improving sleep and improving psychological states. Self massage using a vibration massager makes this a viable option.

Self massage massage allows repeated massages

Within reason repeated applications of a therapy will give far better results than one or two applications. Therefore, self massage using a vibration massager usually gives far better results.

Example: health and wellness benefits

For example, people might get a professional massage for health and wellness say once a month, but the clinical trials showing the health and wellness benefits discussed above used very regular massages such as daily or several times per week.

Example: musculoskeletal pain syndromes

As discussed in our guide Why do trigger points keep coming back , people with musculoskeletal pain usually have long standing changes to their muscles that need regular massages over a long period of time to help reverse. Most patients will only have a hand full of sessions from a professional therapist, but are able to get all the therapy they need using self massage.

Choosing suitable equipment

To take advantage of the physiological and neurological effects of therapeutic vibrations you need a massager that delivers strong penetrating vibrations. As we have seen above these vibrations need to be in the range of 30-60 Hz (cycles per second), with from 45-55 Hz being the most ideal. However, most of the personal use massagers and massage guns on the market do not do this. We discuss this issue in our guide Why most massagers are a waste of money , and summarise what you need to look for below.

Vibration massager
Professionals have been using vibration massagers safely and effectively for decades

Genuine vibration massagers

As this example of a professional vibration massager shows, vibration massagers have a head or pad that sits on the surface and sends in therapeutic vibrations. These penetrate like ultrasound (vibrations at a different frequency), and are at the correct frequency for the therapeutic effects. If you use one you will feel the vibrations going "right through you" and having a relaxing effect on your muscles. You will need a personal use version

What you DO NOT need

As discussed in our guide Why most massagers are a waste of money , most of the vibrating massagers you can buy are not suitable.

A consumer massager
"Consumer massagers" generally do not provide sufficient vibrations to have any worthwhile effects
“Consumer massagers”

Most vibrating massagers built for consumer use are built to look good on shop shelves rather than be serious therapeutic devices. These usually have low powered motors and inadequate mechanisms, so are not capable of delivering adequate vibration.

Massage gun
Massage guns do not give the proper therapeutic vibrations and the "jack-hammering" can do more harm than good

Massage guns (percussion massagers)

Rather than having a pad that sits on the surface and sends in vibrations massage guns are designed to drive their heads in like jackhammers. Because of this they:

  1. Deliver far less vibration than a proper vibration massager
  2. They cannot safely and comfortably be run at the therapeutic vibration frequencies. As an example "Theraguns" have a maximum speed of 40 Hz, but a survey of professionals found that most used their massage guns on "slow" or "medium". Any vibration they do deliver is way outside the therapeutic range.
  3. they usually do more harm than good, with even reports of them causing life threatening injuries (for more info see Are massage guns safe )

Vibration massagers for personal use

When we were looking for a suitable vibration massager for our patients to use all the effective machines seemed to be "professional" products for therapists to use. These were expensive and not designed for self use. Because of this we built our own that pack the effectiveness of a professional unit into an economical one for self use. They are now used, recommended and sold by over a thousand clinics across half the world (some examples). For information about these and where to get them please use these links.

Read what professionals say about DrGraeme massagers

The General Purpose Massager

We’ve had this machine for over a decade and it’s proved to be extremely effective, economical and reliable. The only shortfall is that you are limited to massaging the region under the single head. More information about the General Purpose Massager

The Ultimate Quad Head Massager

This machine has the same ergonomic shape and effectiveness as the General Purpose Massager, but has four heads so it can massage a much larger area. More information about the Ultimate Quad Head Massager

Try this therapy with a sample massager (professionals only)

Most of our massagers sell through colleagues using our machines and recommending the therapy to patients/clients, so we are very happy to send appropriately qualified professionals a complimentary sample machine to trial. For more info please see our Professional sample sample page .

References

1. Poenaru D, Cinteza D, Petrusca I, Cioc L, Dumitrascu D. Local Application of Vibration in Motor Rehabilitation - Scientific and Practical Considerations. Maedica (Buchar)
2. Inaba R, Furuno T, Okada A. Effects of low- and high-frequency local vibration on the occurrence of intimal thickening of the peripheral arteries of rats. Scand J Work Environ Heal. 1988;14(5):312–6.
3. Lohman EB, Petrofsky JS, Maloney-Hinds C, Betts-Schwab H, Thorpe D. The effect of whole body vibration on lower extremity skin blood flow in normal subjects. Med Sci Monit. 2007;
4. Maloney-Hinds C, Petrofsky JS, Zimmerman G. The effect of 30 Hz vs. 50 Hz passive vibration and duration of vibration on skin blood flow in the arm. Med Sci Monit . 2008;14(3):CR112-6.
5. Nakagami G, Sanada H, Matsui N, Kitagawa A, Yokogawa H, Sekiya N, et al. Effect of vibration on skin blood flow in an in vivo microcirculatory model. Biosci Trends. 2007;1(3):161–6.
6. DrGraeme. The presence and treatment of myofascial trigger points in chronic shoulder pain DrGraeme.com. 2018.
7. Bron C, De Gast A, Dommerholt J, Stegenga B, Wensing M, Oostendorp RAB. Treatment of myofascial trigger points in patients with chronic shoulder pain: A randomized, controlled trial. BMC Med. 2011;9.
8. Lundeberg T. Long-term results of vibratory stimulation as a pain relieving measure for chronic pain. Pain. 1984;20(1):13–23.
9. Rabini A, De Sire A, Marzetti E, Gimigliano R, Ferriero G, Piazzini DB, et al. Effects of focal muscle vibration on physical functioning in patients with knee osteoarthritis: a randomized controlled trial. Eur J Phys Rehabil Med. 2015;
10. Noma T, Matsumoto S, Etoh S, Shimodozono M, kawahira K. Anti-spastic effects of the direct application of vibratory stimuli to the spastic muscles of hemiplegic limbs in post-stroke patients. Brain Inj. 2009;23(7–8):623–31.
11. Bakhtiary AH, Fatemi E, Khalili MA, Ghorbani R. Localised application of vibration improves passive knee extension in women with apparent reduced hamstring extensibility: A randomised trial. J Physiother. 2011;
12. Atha J, Ph D, Wheatley DW, Sc B. JOINT MOBILITY CHANGES DUE TO LOW FREQUENCY VIBRATION AND STRETCHING EXERCISE Br J Sports Med March. 1974;26–35.
13. BIERMAN W. INFLUENCE OF CYCLOID VIBRATION MASSAGE ON TRUNK FLEXION. Am J Phys Med Rehabil. 2006;
14. Hinman MR, Lundy R, Perry E, Robbins K, Viertel L. Comparative effect of ultrasound and deep oscillation on the extensibility of hamstring muscles. J Athl Med. 2013;
15. SANDS WA, MCNEAL JR, STONE MH, RUSSELL EM, JEMNI M. Flexibility Enhancement with Vibration. Med Sci Sport Exerc. 2006;38(4):720–5.
16. Kim J-Y, Kang D-H, Lee J-H, O S-M, Jeon J-K. The effects of pre-exercise vibration stimulation on the exercise-induced muscle damage. J Phys Ther Sci. 2017;29(1):119–22.
17. Imtiyaz S, Veqar Z, Shareef MY. To compare the effect of vibration therapy and massage in prevention of delayed onset muscle soreness (DOMS). J Clin Diagnostic Res. 2014;
18. Bakhtiary AH, Safavi-Farokhi Z, Aminian-Far A. Influence of vibration on delayed onset of muscle soreness following eccentric exercise. Br J Sports Med. 2007;
19. Kamandani R, Ghazalian F, Ebrahim K, Ghassembaglou N, Shiri Piraghaj M, Khorram A. The Effect of Acute Vibration Training on Delayed Onset Muscle Soreness in Young Non-Athlete Women. Heal Scope. 2015;
20. Broadbent S, Rousseau JJ, Thorp RM, Choate SL, Jackson FS, Rowlands DS. Vibration therapy reduces plasma IL6 and muscle soreness after downhill running. Br J Sports Med. 2010;44(12):888–94.
21. Lau WY, Nosaka K. Effect of vibration treatment on symptoms associated with eccentric exercise-induced muscle damage. Am J Phys Med Rehabil. 2011;
22. Veqar Z, Imtiyaz S. Vibration therapy in management of delayed onset muscle soreness. J Clin Diagnostic Res. 2014;8(6):10–3.
23. Germann D, El Bouse A, Shnier J, Abdelkader N, Kazemi M, Germann D, et al. Effects of local vibration therapy on various performance parameters: a narrative literature review. J Can Chiropr Assoc. 2018;62(3).
24. Gentili S, Uccioli L, Mugnaini S, Lella D, Richetta M, Magrini A. EFFECTS OF LOCAL VIBRATION THERAPY ON LOWER LIMB ’ S SENSORIMOTOR CONTROL IN WORKERS SUFFERING FROM DIABETIC FOOT – STATE OF ARTS AND STUDY ON A NEW PREVENTION AND THERAPEUTIC SYSTEM .
25. Weinheimer-Haus EM, Judex S, Ennis WJ, Koh TJ. Low-intensity vibration improves angiogenesis and wound healing in diabetic mice. PLoS One. 2014;9(3):3–10.
26. MEI R, XU Y, LI Q. Experimental Study on Mechanical Vibration Massage for Treatment of Brachial Plexus Injury in Rats. J Tradit Chinese Med. 2010;

27. McDonagh D, Wilson L, Haslam C, Weightman D. Good vibrations: Do electrical therapeutic massagers work? Ergonomics. 2005
28. Cheatham SW, Baker RT, Behm DG, Stull K, Kolber MJ. Mechanical percussion devices: A survey of practice patterns among healthcare professionals. Int J Sports Phys Ther. 2021;16(3):766–77.

We are continually adding more information on research and uses. Subscribe below to have us email them to you "hot off the press".

Dr Graeme

About Dr Graeme

Several years ago Dr Graeme, a Chiropractor practicing in Victoria, Australia was looking for a serious hand held massager his patients could use at home to get the extra quality massage they needed. The ones he found in the shops and on-line for home use looked nice but were not serious, and... read more



Other Articles You May Like

Functional rehabilitation

As practitioners we are continually dealing with dysfunctional musculoskeletal systems. Typically dysfunction develops and is perpetuated... Read Article  

The relationship between latent (pain free) trigger points and depression

A study published in the journal Clinical Rheumatology found that in pain free healthy adults the more depressed they were the more... Read Article  

Are massage guns effective- debunking the myth

Massage guns are heavily marketed as a substitute for professional therapists, providing benefits such as sports recovery and pain... Read Article  

Does massage help healing and recovery

Massage is said to help healing and recovery. It certainly does, and in this article I’ll show you scientific evidence of some pretty... Read Article  

Fibromyalgia: how to treat the cause, not the effects (symptoms)

If you have fibromyalgia it’s highly unlikely that medical specialists will ever fix you. They’re treating effects not causes. It’s the... Read Article  

How to use a hand held massager

Using a hand held massager is simple. You place the vibrating head on the muscle, making good contact, and allow the vibrations to... Read Article  

The benefits of sports massage

Massage has been widely used by sports clubs and professional athletes, but more recently self massage options have made these more... Read Article  

The practical guide to massage for cellulite

With professional cellulite therapies being expensive and really not that effective the thought of being able to have a massage or use a... Read Article  

What do chiropractic adjustments do

As a Chiropractor for over 27 years a lot of information I’ve seen about chiropractic adjustments has been misleading or just plain... Read Article  

Why tennis elbow won't heal, and what you can do about it

Tennis elbow is a painful and disabling condition that is said to develop through overuse, but why does it then refuse to heal and defy... Read Article