Tuesday 6th August, 2019
  Categories: General, Practitioners
  Topic(s): Sports, Exercise

The sports and exercise guide to vibration massage

There are a huge number of potential uses and benefits of massage for those who play sports and exercise (1), but relying upon professional massage therapists would be very expensive. The good thing is that vibration massage is a highly effective form of massage that can be self applied, allowing most people who play sports or exercise to have these benefits.

In this guide we briefly discuss the science that underpins vibration massage, then discuss the individual uses along with some extra benefits that apply to vibration massage.

The scientifically proven effects of vibration massage
Summary of the scientifically proven effects of vibration massage

The scientific basis of vibration massage

When used correctly vibrations penetrate deep into muscles and other tissues. Scientist have found that the vibrations have the effects shown in the diagram. For further information please see our guide The scientifically proven effects of vibration massage- with clinical applications

Summary of warm up benefits

Warmups

The purpose of a warmup is to prepare your body for exercise, enabling full performance and minimising your risk of injury. Vibration massage is proven to increase blood flow, plus relax and lengthen your muscles, allowing optimum performance and decreasing the risk of injury. Clinical trials have also shown that if you use vibration massage before exercise it will reduce post exercise soreness and speed recovery.

Post exercise/ recovery

If you work out or play sport seriously you will understand that you can be sore the next day and take a few days to recover. This is because strenuous exercise causes microscopic damage to your muscles. Your muscles tighten, and there is a build up of chemicals from the breakdown of the tissues.
Clinical trials have found that if you use vibration massage either before or after strenuous exercise you will be far less stiff and sore, and you will recover faster (2-10): This can be attributed to the vibrations:

  • causing muscles to relax
  • stimulating increased blood flow, flushing out the chemicals that result from tissue breakdown, while bringing in oxygen and nutrients
  • increasing healing

For further information on how to reduce post exercise soreness and speed recovery please see The practical, science based guide to post exercise recovery

"Stretching" muscles

Clinical trials have found that applying vibration massage to muscles causes them to lengthen (stretch) the same amount as stretching does. We do not advocate replacing stretching, but there are circumstances where vibration would be preferred (11-14).

  • Where it is difficulty to stretch: eg. where it is hard to isolate the muscle you you need get into a difficult position.
  • Where you are injured: eg."stretching your calf muscles when you have an injured ankle.
  • Where it is more convenient: eg. relaxing in your lounge chair.

Increasing performance

Scientists have found that applying vibration allows the nervous system to recruit more muscle fibres, increasing strength and power. This may be important for elite athletes, however for normal circumstances people will get the most benefits from vibration massage helping eliminate things that inhibit performance. For example:

Warmups

Using vibration massage as part or a warmup routine will help prepare your body for optimal performance.

Trigger points

As discussed in the following section (myofascial) trigger points inhibit muscular function. By helping treat these, vibration massage will help eliminate their performance robbing effects.

Post exercise and recovery

Post exercise soreness and fatigue temporarily reduce one's ability to train. By reducing pain and speeding recovery vibration massage allows training sooner.

Injuries

Injuries can prevent one from training or performing. Vibration massage can help reduce or eliminate these effects by helping prepare for exercise to prevent injury, and recover from injury should one occur.

(Myofascial) trigger points

Trigger points are those tight lumps in muscles massage therapists find. Overuse of muscles is a common cause, so those who play sports or exercise usually have many. Trigger points can eventually cause pain, but even when they only hurt when therapists press on them they still do the following. (15,16)

  • Create tightness in the muscle, restricting perfomance, predisposing muscle to tearing, and causing pain where the muscles attach (eg.tennis elbow).
  • Cause muscles to underperform and rapidly fatigue.
  • Quickly cause pain upon exertion.
  • Delays the reaction of muscles, altering "timing".
  • Causes the body to alter posture and biomechanics in compensation, reducing efficiency and predisposing to injury.

For further information on trigger points and how they are treated please see our article Trigger point basics.

Two videos on treating trigger points

Rehabilitation

Rehabilitation is a complex issue and should always involve professional help. However, as a guide there are two areas of huge potential benefits from using using your vibration massager.

Functional Rehabilitation

As discussed in the previous section if trigger points impede the performance of your muscles your neurological control (The Central Nervous System or CNS) will make alterations in compensation, and no amount of "corrective exercises" will change that. The (USA) National Academy of Sports Medicine's text (17) (pictured) recongnise this stating that addressing these issues should be part of any corrective exercise program. As discussed in the previous section the use of a vbbration massager is an excellent way to help remove any of these issues. For an more in depth discussion of this issue please see our article Functional rehabilitation

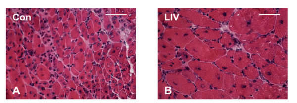
The oval shapes are healing muscle fibres. Note that the one's treated with vibration muscle fibres have grown much larger. Con: Healed normally. LIC: Vibration of 45 Hz (cycles per second), 20 minutes a day

Assisting healing

The other part of rehabilitation is to repair injury and damage. Scientists have found that applying vibration for as little as 20 minutes a day can dramatically speed up and improve healing (18,19). As an example the pictures to the right (below on mobiles) compares muscle that has healed normally (CON) with muscle that has been given 20 minutes a day of vibration (LIV). There are a lot more equally impressive examples in our research summary Assisting healing.

How to use vibration massage for sports and exercise

As you can see there are some pretty amazing benefits to be had from having your own vibration massager. Your vibration massager should be your best friend.

In this section:

  • choosing a massager
  • using a vibration massager

Choosing a massager

You will need an effective massager (many aren't). Please see our artice How to choose a massager for how to choose an effective machine that will do a great job that you will be very happy with. Also, check out our economical, easy to use professional standard machines: the General Purpose Massager or our Ultimate Quad Head Massager

Using a massager

Please see our vibration massage usage guide for the basics on using a vibration massager. Our webite also has a host of articles on specific conditions and uses. Examples include.
The practical, science based guide to post exercise recovery
How to treat trigger points at home
How to treat tennis elbow at home
Massage and trigger point therapy for shoulder pain, with self help options

Fitness and exercise professionals

There is a lot of well meaning but too often poor advice and marginal therapies (eg. foam rollers and massage guns) aimed at those who exercise or play sports. We’d like professionals in these fields to have the opportunity to instead try and use practitioner grade therapy using genuine professional grade vibration massagers with a long list of scientifically demonstrated benefits. Please check out our practitioner page to access our practitioner guides and most importantly the special practitioner rates we give qualifies practitioners such as Chiropractors, Osteopaths and Physiotherapists.

References

  1. Moraska A. Sports massage: A comprehensive review. Journal of Sports Medicine and Physical Fitness. 2005.
  2. Imtiyaz S, Veqar Z, Shareef MY. To compare the effect of vibration therapy and massage in prevention of delayed onset muscle soreness (DOMS). J Clin Diagnostic Res. 2014;
  3. Bakhtiary AH, Safavi-Farokhi Z, Aminian-Far A. Influence of vibration on delayed onset of muscle soreness following eccentric exercise. Br J Sports Med. 2007;41(3):145–8.
  4. Kamandani R, Ghazalian F, Ebrahim K, Ghassembaglou N, Shiri Piraghaj M, Khorram A. The Effect of Acute Vibration Training on Delayed Onset Muscle Soreness in Young Non-Athlete Women. Health Scope. 2015;
  5. Broadbent S, Rousseau JJ, Thorp RM, Choate SL, Jackson FS, Rowlands DS. Vibration therapy reduces plasma IL6 and muscle soreness after downhill running. Br J Sports Med. 2010;44(12):888–94.
  6. Lau WY, Nosaka K. Effect of vibration treatment on symptoms associated with eccentric exercise-induced muscle damage. Am J Phys Med Rehabil. 2011;
  7. Kim J-Y, Kang D-H, Lee J-H, O S-M, Jeon J-K. The effects of pre-exercise vibration stimulation on the exercise-induced muscle damage. J Phys Ther Sci. 2017;29(1):119–22.
  8. Veqar Z, Imtiyaz S. Vibration therapy in management of delayed onset muscle soreness. J Clin Diagnostic Res. 2014;8(6):10–3.
  9. Sethi V. Literature review of management of delayed onset muscle soreness (doms). Int J Biol Med Res. 2012;3(1):1469–75.
  10. Poenaru D, Cinteza D, Petrusca I, Cioc L, Dumitrascu D. Local Application of Vibration in Motor Rehabilitation - Scientific and Practical Considerations. Maedica (Buchar). 2016;11(3):227–31. Available from:
  11. Bakhtiary AH, Fatemi E, Khalili MA, Ghorbani R. Localised application of vibration improves passive knee extension in women with apparent reduced hamstring extensibility: A randomised trial. J Physiother. 2011;
  12. Atha J, Ph D, Wheatley DW, Sc B. JOINT MOBILITY CHANGES DUE TO LOW FREQUENCY VIBRATION AND STRETCHING EXERCISE * ( b ) Astride standing : head pressing to alternate knees ( d ) Rear lunge , with toe rest : calf and leg stretching. October. 1974;26–35.
  13. BIERMAN W. INFLUENCE OF CYCLOID VIBRATION MASSAGE ON TRUNK FLEXION. Am J Phys Med Rehabil. 2006;
  14. Hinman MR, Lundy R, Perry E, Robbins K, Viertel L. Comparative effect of ultrasound and deep oscillation on the extensibility of hamstring muscles. J Athl Med. 2013;
  15. Celik D, Mutlu EK. Clinical implication of latent myofascial trigger point topical collection on myofascial pain. Curr Pain Headache Rep. 2013;17(8).
  16. Celik D, Yeldan P. The relationship between latent trigger point and muscle strength in healthy subjects: A double-blind study. J Back Musculoskelet Rehabil. 2011;24(4):251–6.
  17. Clark MA, Lucett SC. NASM Essentials of Corrective Exercise Training. Lippincott Williams & Wilkins; 2011.
  18. Corbiere TF, Weinheimer-Haus EM, Judex S, Koh TJ. Low-intensity vibration improves muscle healing in a mouse model of laceration injury. J Funct Morphol Kinesiol. 2018;3(1):1–14.
  19. MEI R, XU Y, LI Q. Experimental Study on Mechanical Vibration Massage for Treatment of Brachial Plexus Injury in Rats. J Tradit Chinese Med. 2010;

We are continually adding more information on research and uses. Subscribe below to have us email them to you "hot off the press".

Dr Graeme

About Dr Graeme

Several years ago Dr Graeme, a Chiropractor practicing in Victoria, Australia was looking for a serious hand held massager his patients could use at home to get the extra quality massage they needed. The ones he found in the shops and on-line for home use looked nice but were not serious, and... read more



Other Articles You May Like

Altered muscle activation patterns shown to cause hamstring injuries- a guide to correction

A study of sports people used surface electromyography (EMG) to compare the neurological control of those who had suffered hamstring... Read Article  

Exercises shown to not correct abnormal muscle activation patterns- public

Most movements require the co-ordinated contraction and relaxation of numerous muscles. The neurological control of this is known as a... Read Article